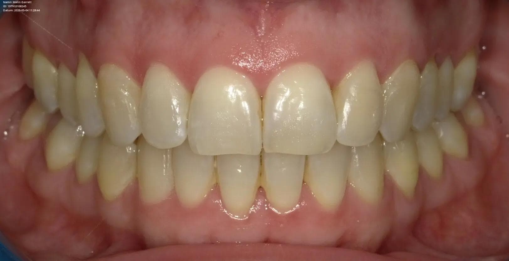
Konfrontert med en utfordrende mangel på plass mellom tennene, søkte vår klient en løsning som unngikk ekstraksjoner. Med Ortocreatives ekspertise og bruk av Invisalign Comprehensive over en 18-måneders periode, ble bemerkelsesverdige resultater oppnådd.
Den perfekte tannstillingen som ble oppnådd, står som et vitnesbyrd om det samarbeidende arbeidet mellom Ortocreative og Invisalign. Denne saken fremhever ikke bare effektiviteten av ikke-ekstraksjonsbehandlingsalternativer, men også viktigheten av pasientsentrert omsorg for å oppnå optimale kjeveortopediske resultater.

