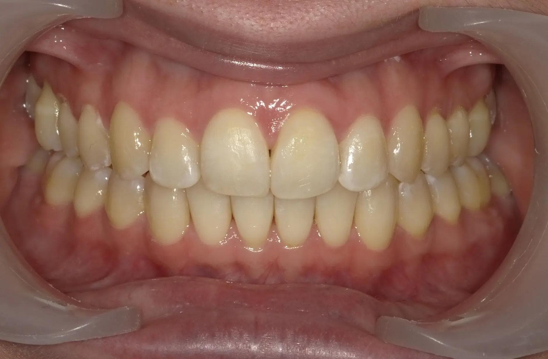
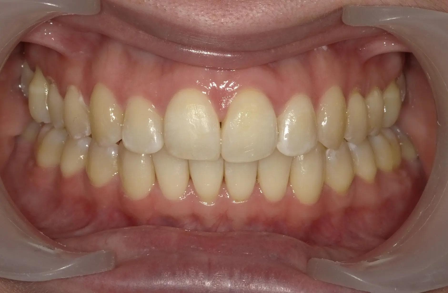
Nedslått over smilet sitt og unngikk offentlige uttrykk for glede, betrodde en kvinnelig klient Ortocreative med den transformasjonen hun søkte. Gjennom en skreddersydd seks måneders reise med Invisalign Lite, ekspertveiledet av vårt tannlegeteam, stråler hennes tidligere skjulte smil nå klart.
Denne nyvunne selvtilliten er et vitnesbyrd om både ekspertisen til Ortocreative og den transformerende kraften av personlig tilpasset kjeveortopedisk behandling, som viser hvordan det kan påvirke en persons livskvalitet positivt.

