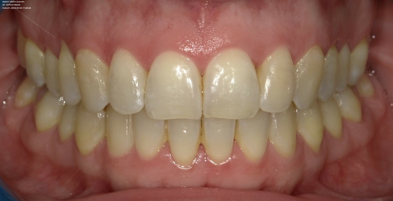
Faced with a challenging lack of space between her teeth, our client sought a solution that avoided extractions. With Ortocreative's expertise and the utilization of Invisalign Comprehensive over an 18-month period, remarkable results were achieved.
The impeccable alignment achieved stands as a testament to the collaborative efforts of Ortocreative and Invisalign. This case not only highlights the effectiveness of non-extraction treatment options but also emphasizes the importance of patient-centred care in achieving optimal orthodontic outcomes.



