Our services
Invisalign with Ortocreative

Transform your smile with Invisalign
Invisalign stands as our premier choice for discreet and efficient teeth alignment, representing the pinnacle of orthodontic innovation. We take immense pride in offering this cutting-edge treatment, which provides a nearly invisible alternative to conventional braces, ensuring a seamless and confident smile transformation for our patients.
Under the expert guidance of Dr. Rodrigues, our highly skilled team adeptly leverages state-of-the-art Invisalign technology. We meticulously tailor treatment plans to meet the unique needs of each client, thereby ensuring a comfortable and inconspicuous journey towards straighter teeth and a radiant smile.
How does it work?
How does Invisalign work?
Treatment consultation
Our dental team will conduct a comprehensive assessment of your teeth and bite to determine if Invisalign is the best solution for you. Using 3D imaging technology, we'll create a personalised Invisalign treatment plan that's tailored to your unique needs.
Treatment process
With Invisalign, you'll receive a series of clear, removable aligners that gradually move your teeth into their desired position. Every few weeks, you'll switch to a new set of aligners, and over time, you'll begin to see the transformation of your smile.
Discover your new smile
You've achieved the straighter, more confident smile you've always wanted! We'll able to provide you with retainers to maintain your new smile, and our team will be on hand to offer ongoing support and guidance to ensure your smile lasts a lifetime.
How does it work?
Watch the Invisalign explainer
Invisalign
Advanced smile technology

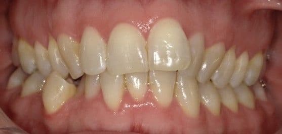
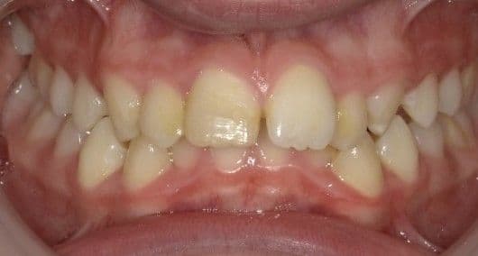
Case studies
Discover recent success stories
Testimonials
What do people say about Ortocreative?
We're here to help
Frequently asked questions
Resources
Explore our blogs
Still have questions? We’re here to help
Get in touch and a member of our team will respond as soon as possible.
Get in touch




