About us
Learn about Ortocreative

Transform your smile with Ortocreative
At Ortocreative, we provide unique, high-quality orthodontic treatment tailored to each patient, ensuring flawless results. Specializing in orthodontics for adults and children, we blend advanced technology with traditional principles for discreet, comfortable smile transformations.
We prioritize comprehensive care, addressing both dental needs and personal preferences. Our dedicated team listens attentively, customizing treatment plans to meet individual expectations and desires.
3
Experienced dentists & hygienists
5*
Patient satisfaction
100s
Satisfied patients
Our expertise
Meet our experienced team
Our expertise
Why choose Ortocreative?
Expert team
The first rule of Ortocreative is that only specialists diagnose and carry out treatment plans. With this, we can provide treatment for children and adults with any type of malocclusion.
Advanced dental technologies
A 3D scan of your teeth is conducted in addition to photos and digital exams. After the examinations, the orthodontic team will diagnose your smile using state-of-the-art diagnostic technologies. A treatment plan and a simulation of your new smile will be presented to you. We exclusively use top dental brands, including Invisalign for aligners and Damon for fixed braces.
Fixed cost
The total cost of your treatment will be presented during the presentation of your treatment plan, and there will be no surprises with additional costs for orthodontic treatment. All treatments include retention and post-treatment checks in the price.
Result guarantee
We don't treat teeth, we treat people, and with this premise, we ensure that the treatment is only concluded if the patient is happy with their smile. See below what some of our patients say about us.
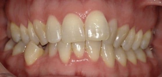
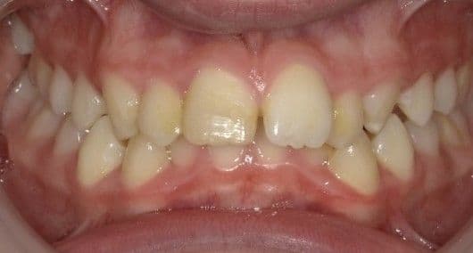
Case studies
Discover recent success stories
Connect with Ortocreative
Testimonials
What do people say about Ortocreative?
We're here to help
Frequently asked questions
Resources
Explore our blogs
Still have questions? We’re here to help
Get in touch and a member of our team will respond as soon as possible.
Get in touch




