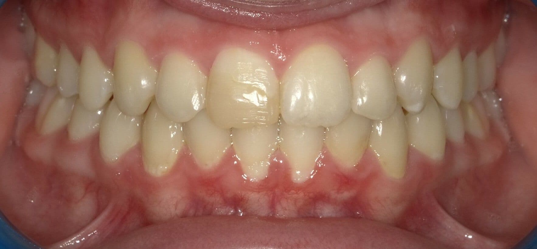
Plagued by the aesthetics of her smile, this client turned to Dr Rodrigues for assistance in addressing her open bite. With our guidance and the application of Invisalign Lite, her smile underwent a remarkable transformation in just five months.
Today, her smile radiates confidence and harmony, perfectly complementing her facial features. This success story underscores the effectiveness of tailored orthodontic treatment plans in not only enhancing aesthetics but also promoting overall well-being.



