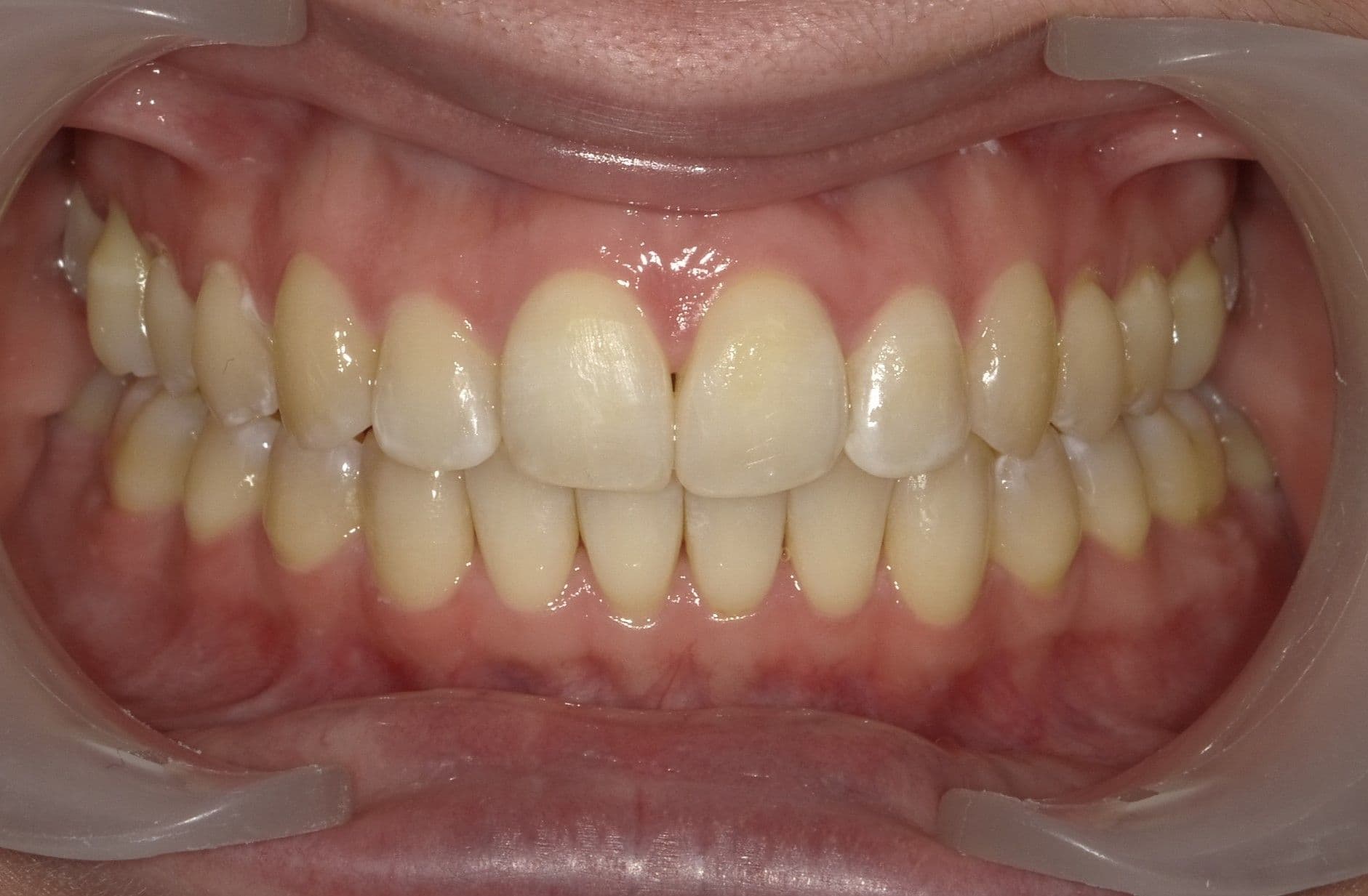
Disheartened by her smile and avoiding public displays of joy, a female client entrusted Ortocreative with the transformation she sought. Through a tailored six-month journey with Invisalign Lite, expertly guided by our dental team, her once-hidden smile now shines brightly.
This newfound confidence is a testament to both the expertise of Ortocreative and the transformative power of personalized orthodontic care, demonstrating how it can positively impact an individual's quality of life.



